لیست بهترین متخصص ارتودنسی در جنوب تهران (به همراه آدرس و شماره تماس)
برای آن دسته از کاربران ویکی دندان که قصد دارند در جنوب تهران اقدام به مرتب کردن دندان هایشان کنند لیست بهترین متخصص ارتودنسی در جنوب تهران را درج کرده ایم. ابتدا لیست متخصصان را بررسی کنید سپس در آخر همین لیست توضیح داده ایم که چرا بهتر است در نزدیکی محل زندگی، کار و تحصیل خود درمان ارتودنسی را انجام دهید.
دسترسی سریع به لیست متخصصان
| ردیف | نام متخصص | اطلاعات تماس |
|---|---|---|
| 1️⃣ | دکتر هادی درویش پور ✅ | کلیک کنید |
| 2️⃣ | دکتر کیهان مرادخانی ✅ | کلیک کنید |
| 3️⃣ | دکتر امیربابک جمشیدی ✅ | کلیک کنید |
| 4️⃣ | دندانپزشکی ۳۱۴ نازی آباد ✅ | کلیک کنید |
نام، آدرس ومشخصات دکترهای لیست بهترین متخصص ارتودنسی در جنوب تهران

۱. دکتر هادی درویش پور ✅
دکتر درویش پور بیش از 15 سال سابقه درمان ارتودنسی دارند. ایشان 3 مطب فعال دارند و در هر 3 مطب به روز ترین فناوری ساخت الاینرهای شفاف یا همان ارتودنسی نامرئی ارائه می دهند. در حال حاظر ایشان یکی از سرشناس ترین ارتودنتیست های تهران هستند. و با اینکه در شرق تهران مطب فعالی ندارند، اما در صورت تمایل می توانید برای ویزیت تخصصی به نزدیک ترین مطب ایشان به شرق تهران واقع در میدان فاطمی مراجعه فرمایید.
📽 ویدیو معرفی دکتر هادی درویش پور
🦷 نمونه درمان ارتودنسی دکنر هادی درویش پور



+ شمال تهران: مترو قیطریه، ابتدای بلوار صبا نبش کوچه خلیلی، طبقه دوم مطب دکتر هادی درویش پور
+ مطب مرکز تهران: میدان فاطمی ،ضلع جنوب شرقی میدان( نبش جویبار ) ساختمان گراد پلاک ۴۵ طبقه اول
+ غرب تهران: دهکده المپیک، میدان المپیک، ضلع جنوب غربی، کوچه 27، پلاک 17

۲. دکتر کیهان مرادخانی ✅
دکتر کیهان مرادخانی که نامشان در لیست بهترین متخصص ارتودنسی در جنوب تهران آمده در واقع یکی از متخصصین باتجربه درنازی آباد تهران هستند. دسترسی به مطب ایشان بسیار راحت است و هر سن و سالی که داشته باشید (از کودکی تا بزرگسالی) میتوانید برای مرتب کردن دندان هایتان به مطب ایشان مراجعه کنید.
+ آدرس مطب: تهران، نازی آباد، بازار دوم، خیابان مدائن، جنب رادیولوژی، طبقه سوم، پلاک 429

۳. دکتر امیربابک جمشیدی ✅
مرکز تخصصی ارتودنسی دکتر جمشیدی، با کادری مجرب دارای سه شعبه واقع در پیروزی، شهرری و آزادی به ارائه خدمات درمان ارتودنسی می پردازد . شما می توانید به صورت آنلاین برای دریافت نوبت اقدام نمایید تا در جلسه معاینه برای درمان ناهنجاری و مشکلات دندانی خود زیر نظر متخصصین این مرکز، روند درمان خود را آغاز نمایید.
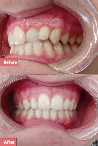
🦷 نمونه درمان ارتودنسی دکتر جمشیدی



+ آدرس مطب جنوب: تهران، شهر ری، خیابان ۲۴ متری، خیابان پیلغوش، روبروی کتابفروشی توجید، کوچه طرق رودی، پلاک ۵۰، طبقه ۲

۴. دندانپزشکی ۳۱۴ نازی آباد ✅
در دندانپزشکی ۳۱۴، انواع روشهای ارتودنسی برای بیماران ارائه میشود. با استفاده از تکنولوژی پیشرفته و با توجه به نیاز بیمار، ارتودنسی در این مطب به صورت حرفهای و با کیفیت بالا انجام میشود.
+ آدرس کلینیک در جنوب: تهران، نازی آباد، خیابان بازار دوم، دندانپزشکی ۳۱۴ نازی آباد
چرا باید درمان ارتودنسی را در نزدیکی محل زندگی، تحصیل یا شغل خود انتخاب کنیم؟
درمان ارتودنسی یکی از طولانی ترین درمان های دندانپزشکی است که نیازمند پیگیری و مراجعههای متعدد به متخصص ارتودنسی میباشد. بسیار مهم است که درمان خود را حتما در نزدیک محل زندگی، تحصیل یا شغل خودتان انتخاب کنید تا بتوانید تجربه درمانی خوبی داشته باشید. اگر در جنوب تهران هستید، بنا به دلایل زیر توصیه می شود که از میان لیست بهترین متخصص ارتودنسی در جنوب تهران یک متخصص انتخاب کنید:
1. صرفهجویی در زمان و هزینههای رفت و آمد
یکی از اصلی ترین مزایای انتخاب یک متخصص ارتودنسی در جنوب تهران، صرفهجویی در زمان و هزینه های مربوط به رفت و آمد شما است. درمان ارتودنسی معمولاً نیازمند مراجعات منظم و دوره ای به مطب متخصص است. وقتی مطب متخصص در نزدیکی محل زندگی یا کار شما قرار داشته باشد، می توانید به راحتی و بدون نیاز به صرف زمان زیاد و هزینه های اضافی برای حمل و نقل، به این مراجعات بپردازید. این امر به خصوص برای افرادی که برنامه های شلوغ و فشرده دارند، بسیار مفید است.

2. افزایش انگیزه و تعهد به درمان
نزدیکی محل درمان به محل زندگی یا کار، می تواند انگیزه و تعهد شما را نسبت به ادامه درمان افزایش دهد. وقتی که یک متخصص ارتودنسی در جنوب تهران انتخاب می کنید، احساس راحتی و آسودگی بیشتری خواهید داشت و کمتر احتمال دارد که مراجعات خود را به تأخیر بیندازید یا فراموش کنید. این امر به موفقیت بیشتر درمان و دستیابی به نتایج مطلوب تر کمک می کند.
3. دسترسی سریع تر و آسان تر در مواقع اضطراری
درمان ارتودنسی ممکن است گاهی با مشکلات یا شرایط اضطراری همراه باشد که نیازمند مراجعه فوری به متخصص است. در صورتی که محل درمان در نزدیکی شما باشد، می توانید در مواقع اضطراری به سرعت به مطب مراجعه کنید و مشکل را حل کنید. این امر به کاهش استرس و نگرانی های ناشی از شرایط اضطراری کمک می کند و مانع از بروز مشکلات جدی تر می شود.

4. ارتباط بهتر با متخصص ارتودنسی
وقتی که محل درمان نزدیک به محل زندگی یا کار شما باشد، فرصت بیشتری برای برقراری ارتباط مستمر و مؤثر با متخصص ارتودنسی خواهید داشت. این ارتباط بهتر میتواند به ارتقاء کیفیت درمان و پاسخگویی سریع تر به سوالات و نگرانی های شما منجر شود. همچنین، مراجعه منظم و آسان تر به مطب، به متخصص ارتودنسی امکان می دهد تا پیشرفت درمان شما را به طور دقیق تری مورد ارزیابی قرار دهد و در صورت نیاز، تغییرات لازم را در طرح درمان اعمال کند.

5. تسهیل هماهنگی با برنامه های روزانه
انتخاب از لیست بهترین متخصص ارتودنسی در جنوب تهران که نزدیک محل زندگی، تحصیل یا کار شما است، به شما این امکان را می دهد که برنامه های درمانی خود را به راحتی با سایر برنامه های روزانه تان هماهنگ کنید. این هماهنگی باعث کاهش فشار و استرس ناشی از تلاش برای یافتن زمان مناسب برای مراجعه به مطب می شود و به شما کمک می کند که به طور همزمان به وظایف کاری، تحصیلی و خانوادگی خود رسیدگی کنید.
جاهای دیگر تهران زندگی می کنید:
اگر به دنبال متخصص بهتری باشیم می توانیم به مناطق دیگر برویم؟
بله اگر هیچ یک از دندانپزشکان معرفی شده در لیست بهترین دکتر ارتودنسی ارتودنسی در جنوب تهران در دسترس شما نیستند یا مایل هستید که به دنبال یک متخصص بهتر و کارکشته تر بگردید می توانید به مناطق دیگر هم سر بزنید فقط باید در نظر داشته باشید که ممکن است برای جلسات ویزیت دوره ای نیاز باشد مدت زمان زیادی را برای رفت و آمد در نظر بگیرید.
پاسخ به سوالات رایج درباره دکتر ارتودنسی در جنوب تهران
برآورد دقیق هزینه ارتودنسی بدون معاینه و ویزیت حضوری واقعا ممکن نیست. بنابراین بهتر است به صورت حضوری با یکی از ارتودنتیست های این لیست مشورت کنید. ولی در کل تعرفه ارتودنسی در جنوب تهران مقداری پایین تر از مناطق دیگر تهران است.
بیشتر متخصصان بین 20 تا 30 درصد از هزینه را ابتدای درمان دریافت می کنند و ماباقی را به صورت اقساط میان مدت یا بلند مدت از شما درخواست خواهند کرد.
بله دکتر درویش پور در مرکز تهران و همچنین غرب تهران هم کلینیک فعال دارند و می توانید برای درمان با کلینیک های ایشان تماس بگیرید.