لیست بهترین متخصص ارتودنسی در غرب تهران (به انتخاب مراجعان و کاربران)
در این صفحه، لیست بهترین متخصص ارتودنسی در غرب تهران برای شما آماده شده است. ما این فهرست را با بررسی منابع آنلاین مختلف مانند سایت های تخصصی، شبکه های اجتماعی و دایرکتوری های پزشکی تهیه کردهایم، اما مهم ترین معیار ‘ویکی دندان‘ برای انتخاب نهایی، نظرات و میزان رضایت واقعی بیمارانی است که قبلاً به این متخصصان مراجعه کردهاند.
| ردیف | نام متخصص | اطلاعات تماس |
|---|---|---|
| 1️⃣ | دکتر هادی درویش پور ✅ | کلیک کنید |
| 2️⃣ | دکتر حجت درویش پور کاخکی ✅ | کلیک کنید |
| 3️⃣ | دکتر احسان صانعی ✅ | کلیک کنید |
| 4️⃣ | دکتر محمدمهدی فهیمی ✅ | کلیک کنید |
| 5️⃣ | دکتر محمد مهدی فیروزبخت✅ | کلیک کنید |
نام، آدرس و مشخصات دکترهای لیست بهترین متخصص ارتودنسی در غرب تهران

1. دکتر هادی درویش پور ✅
دکتر درویش پور بیش از 20 سال سابقه درمان ارتودنسی دارند. ایشان 3 مطب فعال در تهران دارند و در هر 3 مطب به روز ترین فناوری ساخت الاینرهای شفاف یا همان ارتودنسی نامرئی ارائه می دهند. در حال حاظر ایشان یکی از سرشناس ترین ارتودنتیست های تهران هستند. تمام مراحل ارتودنسی نامرئی از 0 تا 100 در کلینیک های دکتر انجام می شود.
📽 ویدیو معرفی دکتر هادی درویش پور:
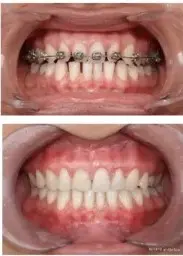
🦷 نمونه درمان ارتودنسی دکتر هادی درویش پور:



🎞 ویدیو رضایت مراجعان:
- مطب غرب تهران: دهکده المپیک، میدان المپیک، ضلع جنوب غربی، کوچه 27، پلاک 17
- نشانی اینستاگرام: dr.darvishpour
- شماره نظام پزشکی: 111299

2. دکتر حجت درویش پورکاخکی✅
دکتر حجت درویش پور پورکاخکی، متخصص ارتودنسی در غرب تهران، از چهره های جوان و خوش نام این حوزه محسوب می شوند که ترکیبی از دانش روز و مهارت عملی را در کار خود به کار می گیرند. مراجعان همواره از برخورد محترمانه، حوصلهٔ بالا در توضیح مراحل درمان، و تعرفه های مناسب ایشان تقدیر می کنند.
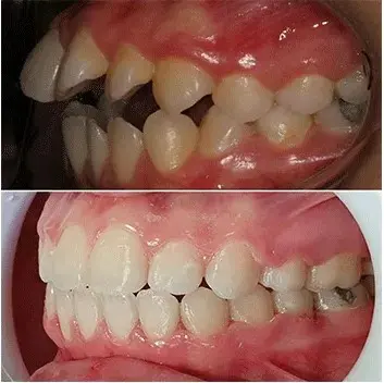
🦷 نمونه درمان ارتودنسی دکتر حجت درویش پور کاخکی:



- مطب غرب تهران: دهکده المپیک، میدان المپیک، ضلع جنوب غربی، کوچه 27، پلاک 17
- نشانی اینستاگرام: drmohammadfarahani
- شماره نظام پزشکی: 136223

3. دکتر احسان صانعی ✅
دکتر صانعی هر دو مدرک دندانپزشکی عمومی و تخصص ارتودنسی را از دانشگاه تهران اخذ کردهاند. مطب ایشان با دسترسی آسان، امکانات پیشرفته و کادر مجرب، محیطی ایده آل برای ارائه خدمات ارتودنسی فراهم کرده است. انواع درمانهای ارتودنسی، از روش های ثابت و متحرک تا سیستم های نامرئی و مدرن، با دقت و تخصص در این مرکز انجام می شود.
📽 ویدیو معرفی دکتر احسان صانعی:
🦷 نمونه درمان ارتودنسی دکتر احسان صانعی:



- مطب غرب تهران: اشرفی اصفهانی، بالاتر از مرزداران، نبش ولدخانی، پلاک ۹، واحد ۵
- نشانی اینستاگرام: drsanei
- شماره نظام پزشکی: 98165

4. دکتر مهدی فهیمی ✅
دکتر فهیمی عضو انجمن دندان پزشکان ایران و عضو انجمن بین المللی ارتودنسی هستند. خدمات دندان پزشکی ایشان شامل: ارتودنسى و ردیف کردن دندان ها با جدید ترین روش ها در کمترین زمان، ارتودنسى ازپشت دندان ها و ارتودنسى شفاف است.
📽 معرفی دکتر مهدی فهیمی:
🦷 ویدیو رضایت بیماران دکتر مهدی فهیمی:
+ مطب غرب تهران: خيابان ستارخان،جنب فرش شاهكار مشهد،پلاك ٣،طبقه اول.واحد اول

5. دکتر محمد مهدی فیروزبخت ✅
دکتر فیروزبخت، فارغ التحصیل دانشگاه تهران، در زمینه اصلاح و مرتب سازی دندان ها تخصص دارد و بهویژه در درمان مشکلات نامرتبی دندان های کودکان بسیار ماهر است. با خدمات حرفه ای و برخورد گرم، ایشان رضایت بالایی از مراجعان خود جلب کرده اند و به عنوان یکی از بهترین متخصصان ارتودنسی شناخته می شوند.
🦷 نمونه در مان ارتودنسی دکتر محمد مهدی فیروزبخت:



+ مطب غرب تهران: تهران، گیشا، خیابان علیالی غربی، پلاک ۵۹، واحد ۴
نگاهی به امکانات مطب بهترین متخصصان ارتودنسی در غرب تهران
اگر در جستجوی یک متخصص ارتودنسی مجرب و متعهد در غرب تهران هستید، این راهنما می تواند به شما کمک کند تا بهترین انتخاب را داشته باشید. متخصصان معرفی شده در این لیست، با برخورداری از مطب هایی مجهز و پیشرفته، خدمات درمانی بی نظیری را به بیماران خود ارائه می دهند. در ادامه، برخی از امکانات و ویژگی های ممتاز این مطب ها را بررسی می کنیم:
دقت و کارایی درمان ها در این مراکز اولویت اول است
مطب های این متخصصان ارتودنسی به جدیدترین فناوری های روز دنیا مجهز هستند. از دستگاه های اسکنر دیجیتال پیشرفته با دقت بالا در ثبت جزئیات دندان ها گرفته تا سیستم های تصویربرداری سه بعدی و لیزرهای دندانپزشکی که درمان را سریع تر و با درد کمتری انجام می دهند. این تجهیزات مدرن، نه تنها کیفیت درمان را افزایش می دهند، بلکه راحتی و آرامش بیشتری را برای بیماران به همراه دارند.
استانداردهای بهداشتی و نظافتی به خوبی در هر مرکز رعایت می شود
یکی از اولویت های اصلی متخصصان فهرستشده در این صفحه، رعایت دقیق بهداشت و پاکیزگی محیط درمان است. مطب های معرفیشده به طور منظم و با دقت بالا، کاملاً مطابق با استانداردهای بهداشتی، ضدعفونی و تمیز می شوند.
تمام سطوح، ابزارها و تجهیزات نیز با دقت کامل استریل می شوند. این رویکرد تضمین می کند که شما می توانید با خیال راحت و اطمینان کامل از خدمات درمانی بهرهمند شوید.
بدون شک با پرسنل حرفه ای و خوش برخورد طرف هستید
مطب های بهترین متخصصان ارتودنسی در غرب تهران با تیمی حرفه ای و خوش برخورد آماده خدمت رسانی به شما هستند. این تیم ها با رفتار دوستانه و محترمانه خود، از همان لحظه ورود، حس آرامش و اطمینان را به شما منتقل می کنند.

تمام مراکزبسیار وقت شناس هستند
متخصصان ارتودنسی در غرب تهران به اهمیت زمان بیماران خود واقف هستند و با استفاده از سیستم های برنامه ریزی دقیق، از ایجاد صف های طولانی و انتظار زیاد جلوگیری می کنند. با مراجعه به این مطب ها، می توانید مطمئن باشید که زمان شما به خوبی مدیریت می شود و درمان شما بدون اتلاف وقت آغاز خواهد شد.
برای شما و برای هر یک از بیماران دیگر برنامه ریزی اختصاصی وجود دارد
هر بیمار نیازهای خاص خود را دارد. متخصصان ارتودنسی با مشاوره های دقیق و شخصی سازی شده، بهترین روش های درمانی را به شما پیشنهاد می دهند. این مشاوره ها بر اساس وضعیت دندان ها و فک شما انجام می شود. با این اطلاعات، می توانید با آگاهی کامل تصمیم بگیرید و درمان را با اطمینان آغاز کنید.
جاهای دیگر تهران زندگی می کنید:
حتما باید جو کلینیک ها را ببینید تا خودتان متوجه آرامش موجود در آن ها شوید
محیط مطب های ارتودنسی در غرب تهران با دکوراسیونی زیبا و طراحی شده برای ایجاد آرامش، فضایی مناسب برای بیماران فراهم کرده اند. نورپردازی مناسب، موسیقی آرام بخش و صندلی های راحت، همگی به کاهش استرس و ایجاد احساس آرامش در بیماران کمک می کنند.
اگر به دنبال تکنولوژی های روز دنیا هستید خوب جاهایی می روید
مطب های این متخصصان با بهره گیری از تکنولوژی های جدید مانند نوبت دهی آنلاین و ارسال پیامک های یادآوری، فرآیند رزرو وقت را بسیار ساده کرده اند. همچنین، استفاده از پرونده های دیجیتال به متخصصان امکان می دهد که به سرعت به اطلاعات بیمار دسترسی داشته و بهترین خدمات را ارائه دهند.
امکان پرداخت اقساطی هزینه ها نیز برایتان فراهم می شود
میدانیم که هزینه های ارتودنسی می تواند برای برخی افراد یک دغدغه اساسی باشد. خوشبختانه، بسیاری از مطب ها و کلینیک های تخصصی که در این فهرست به شما معرفی کردیم، برای رفع این نگرانی راهکارهایی اندیشیدهاند. این مراکز با ارائه برنامه های پرداخت متنوع و منعطف، شرایطی را فراهم می کنند که با وضعیت مالی افراد مختلف سازگار باشد. هدف این طرح ها این است که شما بتوانید با خیالی راحت و بدون نگرانی از فشار مالی، درمان ارتودنسی خود را برای رسیدن به لبخندی زیبا آغاز کنید و با آرامش ادامه دهید.
پاسخ به سوالات رایج درباره بهترین متخصص ارتودنسی در غرب تهران
متاسفانه قیمت ها یکسان نیست. به طور کلی تعرفه ها در تهران متغییر هستند. برای جزئیات بیشتر، به صفحه “هزینه ارتودنسی 1404” مراجعه کنید.
کلینیک دکتر درویش پور واقع در دهکده المپیک، میدان المپیک، ضلع جنوب غربی، کوچه 27، پلاک 17