لیست بهترین متخصص ارتودنسی در تهران (10 ارتودنتیست برتر در تمام تهران)
در این مقاله جامع ابتدا لیست 5 نفره بهترین متخصص ارتودنسی در تهران بررسی می شود. سپس به این موضوع اشاره می کنیم که عوارض عدم انتخاب یک دکتر ارتودنسی خوب چیست و چرا باید حین انتخاب متخصص به 15 معیار و نکته ای که در انتهای توضیح می دهیم توجه کنید.
لیست بهترین متخصص ارتودنسی دندان در تهران
| ردیف | نام متخصص | اطلاعات تماس |
|---|---|---|
| 1️⃣ | دکتر هادی درویش پور ✅ | کلیک کنید |
| 2️⃣ | دکتر کامیار خضری ✅ | کلیک کنید |
| 3️⃣ | دکتر محمد فراهانی ✅ | کلیک کنید |
| 4️⃣ | دکتر سیامک همت پور ✅ | کلیک کنید |
| 5️⃣ | دکتر حجت درویش پور کاخکی ✅ | کلیک کنید |
| 7️⃣ | دکتر هومن زرنگار ✅ | کلیک کنید |
| 8️⃣ | دکتر محسن شیرازی ✅ | کلیک کنید |
| 9️⃣ | دکتر حسین ارباب زاده ✅ | کلیک کنید |
| 🔟 | دکتر علی حیدری ✅ | کلیک کنید |

1. دکتر هادی درویش پور ✅
دکتر درویشپور، با سابقه ای بالغ بر 20 سال در ارتودنسی، اکنون یکی از باسابقه های این رشته در تهران به شمار میروند. تخصص و تمرکز اصلی ایشان در سه مطب مجهزشان، ارائه الاینرهای شفاف یا همان ارتودنسی نامرئی با بهروزترین متدها است. برای کسانی که به دنبال این راهکار نوین برای لبخندی زیبا هستند، ایشان انتخابی بیرقیب در ایران محسوب میشوند.
📽ویدیو معرفی دکتر هادی درویش پور:
🦷 نمونه کار ارتودنسی دندان دکتر درویش پور:



+ آدرس مطب شمال تهران: مترو قیطریه، ابتدای بلوار صبا نبش کوچه خلیلی، طبقه دوم مطب دکتر هادی درویش پور
+ مرکز تهران: میدان فاطمی ،ضلع جنوب شرقی میدان( نبش جویبار ) ساختمان گراد پلاک ۴۵ طبقه اول
+ غرب تهران: دهکده المپیک، میدان المپیک، ضلع جنوب غربی، کوچه 27، پلاک 17

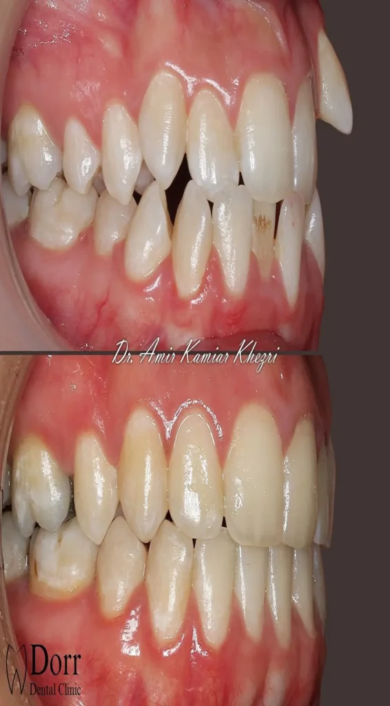
2. دکتر کامیار خضری ✅
دکتر خضری یکی از ارتودنتیست های جوان و محبوب در تهران و کرج هستند که با صبر و دقت بالای خود در درمان های ارتودنسی شهرت پیدا کرده اند. مراجعین به خاطر کیفیت بالای درمان و رویکرد آرام و دقیق دکتر خضری، تجربه درمانی لذت بخشی دارند. این دو شهر به طور همزمان پذیرای بیماران از تمامی اقشار مختلف می باشند.
🦷 نمونه کار ارتودمسی دکتر خضری:



+ آدرس مطب: تهران، خ مقدس اردبیلی، ابتدای خیابان فرخ، طبقه اول

3. دکتر محمد فراهانی ✅
دکتر محمد فراهانی یکی از با تجربه ترین و برجسته ترین متخصصان ارتودنسی در تهران محسوب می شوند. ایشان به عنوان عضو هیئت علمی دانشکده دندانپزشکی شهید بهشتی و استادیار این دانشکده مشغول به فعالیت هستند. علاوه بر تخصص بالای علمی، مهارت ایشان در اجرای درمان های پیچیده ارتودنسی، نامشان را به عنوان یکی از بهترین ها در این حوزه ثبت کرده است.
🦷 نمونه کار ارتودنسی دکتر فراهانی:



+ آدرس مطب: تهران، خیابان ولیعصر (عج)، بالاتر از چهارراه پارک وی، خیابان فرشته، مجتمع تجاری سام سنتر، طبقه ششم، واحد اداری 104

4. دکتر سیامک همت پور ✅
دکتر همت پور نیز یکی از متخصصان ارتودنسی جوان و مطرح در تهران هستند. بعد از گذراندن دوره تخصصی و موفقیت در کسب بورد تخصصی از دانشگاه تهران، به عنوان عضو هیأت علمی در دانشگاه آزاد اسلامی تهران مشغول به تدریس شده اند. تجربه ی دانشگاهی و هدایت بخش تخصصی ارتودنسی، در کنار مطب خصوصی ایشان، به بیماران این اطمینان را می دهد که از خدماتی تخصصی و علمی بهره مند شوند.
🦷 نمونه کار ارتودنسی دکتر همت پور:



+ آدرس مطب: تهران، جردن،خیابان عاطفی شرقی ؛پلاک 24 ،مجتمع صبا ،طبقه 4 ،واحد 401

5. دکتر حجت درویش پور کاخکی ✅
دکتر دریش پور کاخکی از دیگر متخصصان جوان ارتودنسی در غرب تهران هستند که با دانش و مهارت بالای خود شناخته شده اند. مراجعین ایشان همواره از اخلاق حرفه ای و زمان کافی که دکتر کاخکی برای هر بیمار اختصاص می دهند رضایت بالایی دارند. همچنین، تعرفه های منصفانه ایشان باعث شده تا بیماران به خدمات ارتودنسی با کیفیت دسترسی بیشتری داشته باشند.
🦷 نمونه کار ارتودنسی دکتر حجت درویش پور:



+ آدرس مطب اول: تهران، دهکده المپیک، میدان المپیک، ضلع جنوب غربی، کوچه 27، پلاک 17
آدرس مطب دوم: جردن، خیابان ولیعصر، بالاتر از ظفر، نبش کوچه ناصری، طبقه فوقانی رادیولوژی جام جم، پلاک ٨٤

6. دکتر هومن زرنگار ✅
دکتر زرنگار متخصص ارتودنسی است و در درمان ناهنجاری های فکی تبحر دارد. او از جدیدترین روش ها و فناوری ها استفاده می کند و تجربه ای آرام و مطمئن برای بیمارانش فراهم می کند. مهارت او در درمان موارد پیچیده نیز قابل توجه است.
+ آدرس مطب: تهران، بلوار میرداماد، میدان مادر، خیابان بهروز(سنجابی)، پلاک ۱۷، واحد ۴۳
+ آدرس مطب: تهران، سعادت اباد، میدان کاج، ابتدای سرو شرقی، پلاک ۷۸، واحد ۲۸

7. دکتر محسن شیرازی ✅
دکتر شیرازی نیز از اساتید برجسته ارتودنسی در تهران محسوب می شوند. ایشان دارای مقام استاد تمامی در بخش ارتودنسی دانشگاه علوم پزشکی تهران هستند و برنده ی جوایز متعددی از جمله رتبه اول جشنواره خوارزمی و عنوان کتاب برگزیده دانشگاه تهران در حوزه ی پزشکی شده اند. تجربه ی علمی و پژوهشی فراوان ایشان، تضمین کننده ی بالاترین سطح درمان های ارتودنسی است.
+ خیابان انقلاب دانشکده دندانپزشکی دانشگاه و خیابان استادمطهری بین ولیعصر و میرزای شیرازی شماره 410

8. دکتر حسین ارباب زاده ✅
دکتر حسین اربابزاده، فارغ التحصیل دندانپزشکی در سال ۱۳۶۹ و متخصص ارتودنسی از سال ۱۳۷۸، از برجسته ترین متخصصان ارتودنسی در تهران هستند. ایشان در درمان ناهنجاریهای فک و صورت، ارتودنسی کودکان و بزرگسالان با سیستم های مدرن مانند DAMON و Invisalign تخصص دارند و به مهارت بالایی در این زمینه دست یافته اند.
+ آدرس مطب: تهران، خیابان شریعتی، پایین تر از پل صدر، بن بست طالقانی، پلاک ۲، واحد ۲

9. دکتر علی حیدری ✅
دکتر علی حیدری، متخصص ارتودنسی و ارتوپدی فکی، با بیش از ۱۸ سال تجربه، به عنوان یکی از متخصصان ماهر در درمان ناهنجاری های فک و صورت شناخته می شود. ایشان طی دوران کاری خود با موفقیت به درمان بیش از ۴۰۰۰ بیمار پرداخته اند و تکنیک های نوین ارتودنسی ثابت و فانکشنال را به کار برده اند تا بهترین نتایج درمانی را برای بیماران خود فراهم آورند.
🦷 نمونه درمان ارتودنسی دکتر حیدری:



+ آدرس مطب: خیابان شریعتی، روبروی خیابان دولت، نبش کوچه امامزاده، مجتمع پزشکان سبز، طبقه سوم
معرفی متخصص ارتودنسی در یک نگاه
جدول معرفی متخصص ارتودنسی
| / | توضیحات کوتاه |
| تعریف | دندان پزشک متخصصی که پس از اتمام دوره عمومی، ۳ تا ۴ سال آموزش تخصصی در زمینه تشخیص، پیشگیری و درمان ناهنجاری های دندانی و فکی می بیند. |
| عنوان رسمی | دکترای تخصصی ارتودنسی و ناهنجاری های فک و صورت (Orthodontist) |
| حیطه تخصصی | اصلاح نامرتبی دندان ها درمان مشکلات فکی (مال اکلوژن) اصلاح طرح لبخند هدایت رشد فک در کودکان |
| مدارک مورد نیاز | دکترای دندان پزشکی عمومی قبولی در آزمون تخصص گذراندن دوره رزیدنتی ۳-۴ ساله دریافت بورد تخصصی |
| تجهیزات تخصصی | براکت های ثابت و متحرک دستگاه های فانکشنال سیستم های دیجیتال (مثل اینویزیلاین) دستگاه های رادیوگرافی مخصوص |
| تفاوت با دندان پزشک عمومی | توانایی درمان مشکلات پیچیده فکی مهارت در طراحی درمان های تخصصی تسلط بر رشد و تکامل فک و صورت استفاده از روش های پیشرفته |
| شرایط احراز صلاحیت | داشتن پروانه نظام پزشکی تخصصی عضویت در انجمن ارتودنتیست ها گذراندن دوره های بازآموزی سالانه |
| حوزه های کاری | کلینیک های تخصصی ارتودنسی مراکز آموزشی دانشگاهی مراکز تحقیقاتی دندان پزشکی |
عوارض عدم انتخاب یک متخصص ارتودنسی خوب چیست؟
صادقانه و بی پرده می گوییم اگر واقعا یک دکتر ارتودنسی خوش نام و با سابقه درخشان مثل دکترهای لیست بهترین متخصص ارتودنسی در تهران پیدا کنید؛ می توانید درمان خوبی داشتهباشید. اما اگر متخصص انتخابی شما کم تجربه است و یا حتی اصلا ارتودنتیست نیست؛ عوارض و چالش های زیر را تجربه خواهید کرد:
– تشخیص نادرست
باور کنید این اولین و محتمل ترین مشکلی است که در صورت عدم انتخاب یک دکتر ارتودنسی خوب در تهران ممکن است با آن روبرو شوید. انتخاب یک متخصص ارتودنسی تازه کار و یا فاقد تجربه کافی، می تواند شما را در معرض تشخیص نادرست قرار دهد.
بدون تشخیص مناسب، طرح درمان شما قطعا به درستی برنامه ریزی نمی شود و نمی توان انتظار داشت که مشکلات مربوط به نامرتبی دندان ها و فک های شما برطرف شود.
– برنامه ریزی نامناسب درمان
درمان ارتودنسی مستلزم یک برنامه ریزی بسیار دقیق است. انتخاب یک متخصص ارتودنسی کم تجربه و غیر حرفه ای ممکن است منجر به برنامهریزی نامناسب درمان شود که این مساله خود منجر به بروز نتایج نامطلوب میشود.
برنامه ریزی نامناسب طرح درمان می تواند باعث بروز مشکلاتی مثل موارد زیر شود:
- مشکلات بایت
- وارد شدن آسیب به دندان
- احتمالا کشیده شدن دندان های نادرست
- یا حتی بدتر شدن مشکلات ارتودنسی
اما انتخاب یک بهترین متخصص ارتودنسی در تهران شما را از چنین مشکلاتی نجات خواهد داد.
– افزایش مدت زمان درمان
درمان ارتودنسی نیازمند تخصص در به کارگیری تکنیک های مناسب و استفاده از دستگاه های مناسب است. یک دکتر ارتودنسی کم تجربه ممکن است فاقد دانش و مهارت لازم برای هدایت موثر دندان های شما به موقعیت های مناسب خود باشد. در نتیجه، درمان ممکن است بیشتر از حد لازم طول بکشد و ناراحتی و هزینه های شما را بیشتر کند.

– افزایش خطر عوارض ارتودنسی
دانش و مهارت ناکافی می تواند خطر بروز عوارض در طول درمان ارتودنسی را افزایش دهد. استفاده از براکت ها یا سیم های نامناسب، تنظیمات نادرست یا استفاده نادرست از دستگاه ها می تواند منجر به ناراحتی، حساسیت دندان یا حتی آسیب به دندان ها و لثه ها شود. یک متخصص ارتودنسی آقا یا خانم حرفه ای با تجربه و واجد صلاحیت این خطرات را به حداقل می رساند و روند درمان بهتر و ایمن تری برای شما ایجاد خواهد کرد.
– شکست نتایج
هدف از درمان ارتودنسی، رسیدن به یک لبخند زیبا، منظم و کارآمد است؛ لبخندی که هم ظاهر خوبی داشته باشد و هم در جویدن و صحبت کردن مشکلی ایجاد نکند. اما گاهی اوقات، اگر در انتخاب متخصص ارتودنسی دقت کافی نداشته باشیم، ممکن است نتیجه نهایی آن چیزی نباشد که در رؤیاهایمان داشتیم.
مثلاً ممکن است:
- بعد از ماهها درمان، هنوز هم بین دندانهایتان فاصلههایی باقی مانده باشد که قرار بوده کاملاً بسته شوند.
- یا اگر مشکل دندانهای جلوی فک بالا بود که جلوتر از حد معمول قرار داشتند، شاید بعد از پایان درمان هم هنوز کمی از آن جلو بودن حس شود.
- و …
اینها یعنی درمان به سرانجام رسیده، اما آن دقت و کمالی که انتظارش را داشتیم، محقق نشدهاست.

– بروز مشکلات و عوارض در درازمدت
درمان ارتودنسی نه تنها با هدف افزایش زیبایی طرح بخند شما انجام می شود، بلکه نقش مهمی در حفظ سلامت دهان، دندان و فک های شما دارد. انتخاب یک دکتر ارتودنسی فاقد صلاحیت ممکن است با عدم درمان اصولی نامرتبی های دندانی یا فکی همراه باشد و این مساله به بروز مشکلاتی در طولانی مدت (خطر پوسیدگی دندان، بیماری لثه، یا حتی اختلالات مفصل گیجگاهی فکی (TMJ) کمک خواهد کرد.
– هدر رفتن پول و زمان
انتخاب یک متخصص ارتودنسی غیرحرفه ای می تواند منجر به اتلاف وقت و هزینه شود. درمان ناکارآمد یا ناقص ممکن است نیاز به مداخلات اضافی برای دستیابی به نتایج مطلوب داشته باشد که این مساله خود منجر به قرار ملاقات های بیشتر، طولانی شدن مدت درمان و افزایش هزینه ها می شود.
سرمایه گذاری روی یک انتخاب بهترین متخصص ارتودنسی در تهران از همان ابتدای درمان، باعث می شود شما یکبار به صورت اصولی هزینه کنید و به موقع و با هزینه منصفانه دندان هایتان را مرتب کنید.
– نیاز به تجدید نظر یا انجام درمان مجدد
بارها پیش آمده که افراد به جای مراجعه به یک دکتر ارتودنتیست خوب و باتجربه به دندانپزشک عمومی مراجعه کرده اند ولی مشکل نامرتبی دندان هایشان همچنان وجود دارد. در چنین شرایطی اگر افراد بخواهند دندان هایشان مرتب شوند باید مجددا برای انجام درمان به نزد متخصص ارتودنسی مراجعه کنند.
این یعنی دوباره باید زمان و هزینه بیشتری برای درمان صرف کنید و این واقعا منصفانه نیست. همان ابتدا بهترین دکتر ارتودنسی در تهران را انتخاب کرده و خیال خود را راحت کنید.
بنابراین باید حتما به دنبال بهترین متخصص ارتودنسی در تهران باشید

انتخاب یک دکتر ارتودنسی خوب در تهران برای اطمینان موفقیت آمیز بودن درمان شما یک امر ضروری است. بحث فقط سر پول و هزینه نیست. شما برای مدت زمانی نسبتا طولانی باید بین خانه و مطب دکتر خود در رفت و آمد باشید و ماجراهایی در طول درمان خود داشته باشید. با عدم انتخاب یک متخصص ارتودنسی خوب در تهران، قطعا دوره درمان بسیار پر چالشی خواهید داشت و احتمالا در نهایت نسبت به درمان و دکتر انتخابی خود دلسرد می شوید.
بنابراین سعی کنید نه تنها به فکر انتخاب یک دکتر خوب باشید، بلکه پیشنهاد ما به شما این است که واقعا بهترین متخصص ارتودنسی در تهران را انتخاب کنید. اما چطور اینکار را انجام دهیم؟ یا می توانید از لیست ابتدای این صفحه کمک بگیرید یا اینکه اگر مستقلا به دنبال چنین دکتری هستید، به نکاتی که در ادامه توضیح داده شده است توجه کنید.
در حین انتخاب بهترین متخصص ارتودنسی در تهران به چه نکاتی توجه کنیم؟
هر کدام از موارد زیر به شما کمک می کند دکتر بهتری پیدا کنید:
ارزیابی مدارک، اعتبار، خوش نامی و تجربه دکتر
قبل از اینکه درمان خود را به یک متخصص ارتودنسی بسپارید، ارزیابی اعتبار و تجربه ایشان بسیار مهم است. به دنبال متخصص ارتودنسی باشید که اولاً مدارک لازم را دارد و ثانیا از زمان شروع فعالیت حرفه ای اش چندین سال گذشته باشد. اینکه یک دکتر خوش نام باشد هم نشان می دهد اعتبار حرفه ای بالایی دارد و می توانید برای شروع درمان به ایشان اعتماد کنید.

کمک گرفتن از دیگران و یا دریافت ارجاع از دندانپزشکان حرفه ای دیگر
معرفی شدن متخصص توسط خانواده، دوستان یا دندانپزشک عمومی می تواند نقطه شروع عالی برای یافتن بهترین متخصص ارتودنسی در تهران باشد. افرادی که تجربیات مثبتی از درمان ارتودنسی داشته اند، می توانند حتی بیشتر به شما کمک کنند. همچنین اگر از قبل به دندانپزشک عمومی یا متخصصی مراجعه می کنید که مورد اعتماد و امین است، می توانید از ایشان خواهش کنید شما را به یک دکتر ارتودنسی خوب ارجاع دهند زیرا دندانپزشکان شبکه گسترده ای از ارتباطات کاری حرفه ای دارند.
تحقیق درباره روش های درمانی بکار رفته توسط دکتر
درمان های ارتودنسی بسته به نیازها و ترجیحات فردی شما می تواند متفاوت باشند. یافتن بهترین متخصص ارتودنسی تهران که طیف گسترده ای از گزینه های درمانی را ارائه می دهد و با آخرین پیشرفت های فناوری ارتودنسی به روز است در این زمینه بسیار مهم است. معمولا بهترین متخصص ارتودنسی در تهران از تمامی روش های درمانی سر در می آورد و تجربه کافی در هر کدام دارد.
در نظر گرفتن محیط مطب دکتر
محیط مطب نقش مهمی در تجربه کلی شما از درمان های ارتودنسی دارد. به مطب ارتودنتیست مراجعه کنید و جو آنجا را ارزیابی کنید. آیا تمیز و شیک است؟ آیا کارکنان رفتار دوستانه و حرفه ای دارند؟

ارزیابی نحوه برقراری ارتباط توسط دکتر و پرسنل ایشان
یک ارتباط قوی و موثر با متخصص ارتودنسی برای اطمینان از یک روند درمانی بی دردسر و رضایت بخش حیاتی است. در طول مشاوره اولیه، به نحوه گوش دادن ارتودنتیست به نگرانی های شما و توضیح گزینه های درمانی توجه کنید. یک متخصص ارتودنسی خوب برای پاسخ دادن به سوالات شما وقت می گذارد و باعث می شود در طول مسیر درمان احساس راحتی کنید.
بررسی فناوری ها و تجهیزات مطب ارتودنتیست
پیشرفت در فناوری ارتودنسی می تواند روند و نتایج درمان شما را تا حد زیادی بهبود بخشد. در مورد فن آوری ها و تجهیزات مورد استفاده توسط متخصص ارتودنسی پرس و جو کنید. آیا ایشان از اسکن دیجیتال، تصویربرداری سه بعدی یا برنامه ریزی درمانی به کمک رایانه استفاده می کنند؟ معمولا دکترهایی که نامشان در لیست بهترین متخصص ارتودنسی در تهران آمده از فناوری مدرن در مطب خود بهره می برند و به این دلیل احتمال بیشتری دارد که تشخیص های دقیق و درمان کارآمدتری ارائه دهند.

در نظر گرفتن پوشش های بیمه ای و روش های پرداخت هزینه
درمان ارتودنسی می تواند هزینه بر باشد، بنابراین بسیار مهم است که درباره پوشش بیمه یا گزینه ها پرداخت هزینه های درمان با متخصص خود کنید. برخی از متخصصان ممکن است به دلیل شهرت و یا باکیفیت بودن درمان هایی که انجام می دهند هزینه های بالاتری دریافت کنند بنابراین باید ببینید آیا هزینه ها را برای شما قسط بندی می کنند؟ آیا با بیمه دندانپزشکی خاصی طرف قرارداد هستند یا خیر؟
ارزیابی نحوه دسترسی تان به مطب
محل و ساعات کاری مطب ارتودنتیست منتخب خود را در نظر بگیرید. آیا مطب ایشان در نزدیکی خانه، مدرسه یا محل کار شما قرار دارد؟ آیا ساعات قرار ملاقات به اندازه کافی منعطف است تا با برنامه شما مطابقت داشته باشد؟ انتخاب یک متخصص ارتودنسی که در دسترس شماست، میتواند حضور در قرار ملاقاتها و انجام معاینات منظم را راحتتر کند.
خواندن نظرات و بازخورد مراجعان و بیماران متخصص ارتودنسی
خواندن نظرات و تجربیات بیماران می تواند دیدگاه ارزشمندی درباره مهارت و کیفیت کار یک ارتودنتیست به شما بدهد. بنابراین، سعی کنید نظرات بیماران را در پلتفرم های معتبر یا صفحات اجتماعی مرتبط بررسی کنید تا تصویر بهتری از شهرت و خدمات دکتر ارتودنسی مورد نظرتان به دست آورید.

به بازخوردهای مثبت و منفی توجه کنید تا درک کاملی از نقاط قوت و ضعف ارتودنتیست داشته باشید. حتی اگر از چند منبع معتبر به شما گفتند فلان دکتر بهترین متخصص ارتودنسی تهران است، باز هم سعی کنید نظرات مثبت و منفی درباره آن دکتر را شخصا بررسی کنید.
برای مشکلات ارتودنسی شدید به این نکته توجه کنید
در بعضی موارد مشکلات ارتودنسی جزئی تا متوسط هستند و می توان با مراجعه به متخصصی که خیلی هم باتجربه نیست آن ها را برطرف کرد. اما زمانی که صحبت از مشکلات ارتودنسی شدید و پیچیده می شود قطعا باید بهترین متخصص ارتودنسی در تهران که تجربه کافی دارد را انتخاب کنید.
متخصصانی که بیش از 10 سال سابقه انجام درمان ارتودنسی دارند می توانند پیچیده ترین کیس های ممکن را مدیریت و اصلاح کنند. شک نکنید چنین متخصصانی حداقل چند مورد مشابه با وضعیت خاصِ شما را درمان کرده اند. اما یک دکتر ارتودنسی بی تجربه چنین نیست.
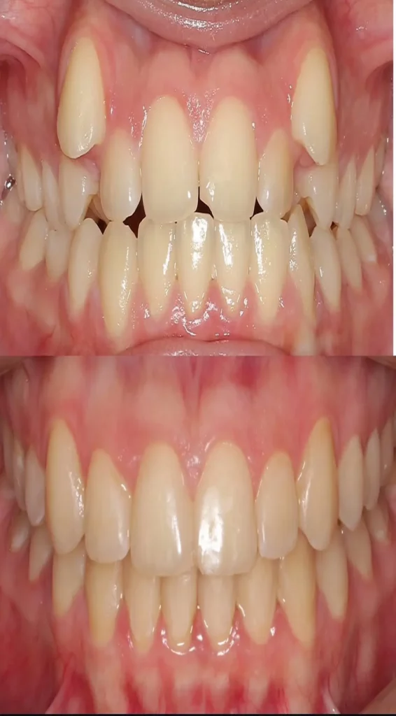
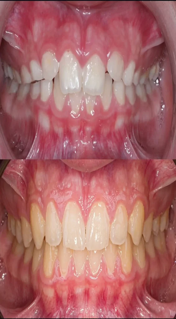
مشاهده عکس های قبل و بعد از درمان
عکس های قبل و بعد از درمان ارتودنسی می توانند با شما صحبت کنند. می توانند به شما از توانایی های ارتودنتیست و اثربخشی درمانی که ایشان انجام می دهند بگویند.

بنابراین باید از تمام متخصصانی که نامشان در لیست بهترین متخصص ارتودنسی در تهران است، درخواست نمونه درمان کنید. دشما می توانید ببینید نتایج بعد از درمانی که این متخصصان انجام می دهند چقدر نسبت به قبل از درمان تغییر کرده اند. مخلص کلام، دیدن تصاویر قبل و بعد را تحت هر شرایطی به شما توصیه می کنیم زیرا اطلاعات زیادی به شما می دهد.
اطلاع از شیوه های پشتیبانی پس از درمان
برای اطمینان از ماندگاری و پایداری نتایج شما، حتما باید بعد از درمان به طور مکرر به متخصص خودتان مراجعه کنید. بنابراین در مورد رویکرد ارتودنتیست برای پشنیبانی از شما پس از درمان تحقیق کنید. یک متخصص ارتودنسی قابل اعتماد دستورالعمل های مناسب، قرار ملاقات های بعدی و راهنمایی هایی برای حفظ لبخند جدیدتان به شما ارائه می دهد. از متخصصی که فکر می کنید می خواهید درمانتان را نزد ایشان آغاز کنید درباره نحوه پشتیبانی شما بعد از درمان سوال بپرسید.
به فکر راحتی خود باشید
گاهی اوقات ممکن است یک شخص مطمئن و امین به شما توصیه کند به نزد فلان دکتر بروید که از نظر ایشان بهترین متخصص ارتودنسی در تهران است اما شما به هر دلیلی احساس خوبی درباره این متخصص ندارید. این احساس را نادیده نگیرید. سعی کنید ارتودنتیستی را انتخاب کنید که با او احساس راحتی بیشتری می کنید.

+ به فکر پلن B باشید
فرض کنید دکتری به عنوان بهترین متخصص ارتودنسی در تهران به شما معرفی می شود یا خودتان با تحقیق یک دکتر خوب پیدا می کنید، اما کاملا درباره ایشان مطمئن نیستید. اینجاست که باید یک گزینه جایگزین یا پلن B برای خود داشته باشید، سعی کنید در نهایت بین دو متخصص تصمیم گیری کنید. و اگر یک نفر از آن ها به هر دلیل مورد تایید یا پسند شما نبود، به دکتر دیگری مراجعه کنید.
ولی در نظر داشته باشید که این تصمیم گیری حتما باید پیش از شروع درمان باشد، زیرا وقتی شما درمانتان را نزد یک متخصص شروع کردید، اگر به هر دلیلی در میان درمان منصرف شوید، هیچ دکتر ارتودنسی دیگری ادامه درمان شما را بر عهده نخواهد گرفت.
تصمیم نهایی خود را بگیرید
پس از در بررسی تمام عوامل (تا اینجا)، اکنون نوبت به تصمیم گیری نهایی می رسد. یعنی واقعا تصمیم می گیرید از بین تمام دکترهایی که درباره شان تحقیق کرده اید بلاخره بهترین متخصص ارتودنسی در تهران را پیدا کنید. و برای درمان به نزد ایشان مراجعه کنید.

باز هم تاکید می کنیم، قرار است هزینه زیادی پرداخت کنید و مدت زمان زیادی مشغول درمان باشید. بنابراین حتما نهایت حساسیت را در انتخاب دکتر ارتودنسی خود به خرج دهید. و بعد از سبک و سنگین کردنِ همه چیز، بلاخره یک تصمیم نهایی بگیرید.
پاسخ به سوالات رایج
تمامی ارتودنتیست های این لیست برای رده های سنی خردسال تا بزرگسال درمان های ارتودنسی انجام می دهند.
لیست به صورت دوره ای آپدیت می شود. در حال حاظر دکتر ارتودنتیست خانم معرفی نشده اند ولی این مساله به زودی و در آپدیت های بعدی حتما لحاظ خواهد شد.