لیست بهترین متخصص کامپوزیت در تهران
در تهران با وجود هزاران کلینیک دندانپزشکی، مرز باریکی بین یک لبخند زیبا و آسیب های جبران ناپذیر به دندان وجود دارد. تبلیغات اینستاگرامی و عکس های روتوش شده، تشخیص مهارت واقعی پزشک را برای مراجعین دشوار کرده است. بنابراین درک می کنیم که دغدغه اصلی شما اکنون پیدا کردن بهترین متخصص کامپوزیت دندان که علاوه بر استفاده از متریال اورجینال، تکنیک درستی را اجرا کند تا در آینده دچار التهاب لثه یا پریدگی لبه های کامپوزیت نشوید.
ما برای تدوین لیست بهترین متخصص کامپوزیت در تهران، به جای تکیه بر تبلیغات، بر روی «تکنیک اجرا» و «ماندگاری درمان» تمرکز کرده ایم تا ریسک درمان شما را به صفر برسانیم. در این مقاله از ویکی دندان، ما بر اساس بررسی نمونه کارها، رضایت بیماران و کیفیت مواد، تعدادی از برترینها را به شما معرفی می کنیم.
| ردیف | نام متخصص | ناحیه فعالیت | اطلاعات تماس |
|---|---|---|---|
| ۱ | دکتر علیرضا افراشی | ونک | کلیک کنید |
| ۲ | دکتر محمد نامی | دولت | کلیک کنید |
| ۳ | دکتر فاطمه اسمی | نیاوران | کلیک کنید |
| ۴ | دکتر مانوشا امیدی | اندرزگو | کلیک کنید |
| ۵ | دکتر سعید میرزایی | شهران | کلیک کنید |
معرفی لیست بهترین متخصص کامپوزیت در تهران
در ادامه، رزومه و سبک کاری ۵ دندانپزشک برتر که در زمینه کامپوزیت ونیر و اصلاح طرح لبخند در تهران شناخته شده هستند را بررسی میکنیم. این لیست در آینده آپدیت می شود و متخصصینی که با معیارهای سختگیرانه ما هماهنگی داشته باشند به این لیست اضافه خواهند شد.

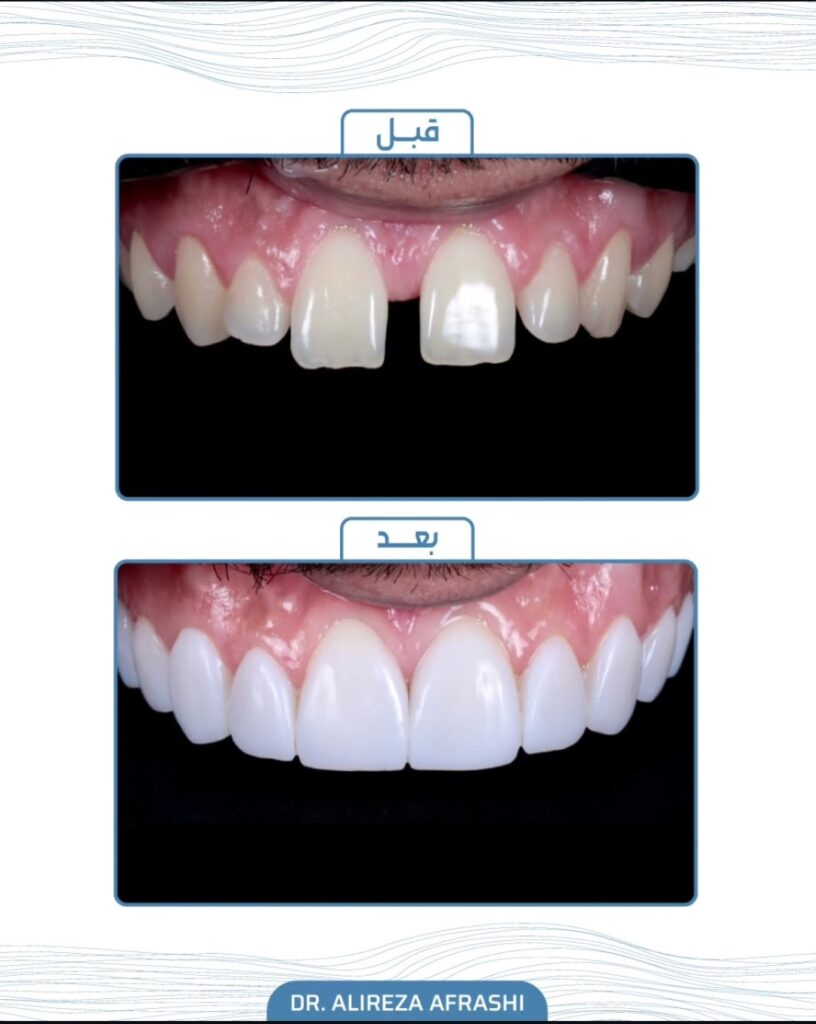
۱. دکتر علیرضا افراشی
دکتر افراشی یکی از نام های شناخته شده در حوزه دندانپزشکی زیبایی است. تمرکز اصلی ایشان در درمان های کامپوزیت، بر حفظ بافت طبیعی دندان و استفاده از تکنیک های کم تهاجمی (Minimally Invasive) است. اگر به دنبال سبک های نچرال هستید و می خواهید شیارهای طبیعی دندان و شفافیت لبه ها به دقت رعایت شود، ایشان یکی از بهترین گزینه ها هستند.
ویژگی های خدمات:
- استفاده از برندهای معتبر اروپایی و آمریکایی.
- تکنیک لیرینگ پیشرفته برای ایجاد نمای طبیعی.
- قرینه سازی دقیق خط لبخند.
📽 ویدیو معرفی کلینیک دکتر افراشی:
🦷 نمونه کار کامپوزیت دندان دکتر افراشی:



اطلاعات تماس:
- 📍 آدرس: تهران ، تقاطع خیابان شیراز شمالی و ونک ، ساختمان ایران سکنا ، طبقه فوقانی بانک ملت ، انتهای بالکن ، پلاک 66
- 📞 تلفن: 02188216673
- 🌐 وبسایت: www.drafrashi.com

۲. دکتر محمد نامی
دکتر محمد نامی با تکیه بر تجربه بالا در زمینه لمینیت و کامپوزیت، یکی از پزشکانی است که بر اساس آناتومی چهره، طرح درمان را پیشنهاد می دهد. در نمونه کارهای دکتر نامی، دقت در فینیشینگ و پولیشینگ نهایی کامپوزیت بسیار مشهود است که باعث می شود دوام رنگ درمان افزایش یابد و از رنگ پذیری زودرس جلوگیری شود.
ویژگی های خدمات:
- مشاوره دقیق پیش از درمان برای انتخاب رنگ مناسب پوست.
- ماندگاری و استحکام بالای ونیرها.
- سرعت عمل بالا و تجربه زیاد.
🦷نمونه کار کامپوزیت دندان دکتر محمد نامی:



اطلاعات تماس:
- 📍 آدرس: خیابان دولت، بین بلوار کاوه و چهارراه قنات، نبش کوچه مطهری، پلاک یک، مجتمع نگین، طبقه اول، واحد 5
- 📞 تلفن: 02122593962

۳. دکتر فاطمه اسمی
ظرافت در اجرا و توجه به جزئیات ریز دندانی، از مشخصه های بارز کارهای دکتر فاطمه اسمی است. ایشان در اصلاح طرح لبخند، وسواس زیادی روی سلامت لثه و عدم گیر غذایی بین کامپوزیت ها دارند. بسیاری از مراجعین ایشان، از صبر و حوصله دکتر در شنیدن انتظارات بیمار و اجرای دقیق خواسته آن ها رضایت بالایی داشته اند.
ویژگی های خدمات:
- تخصص در ایجاد لبخندهای هالیوودی و نچرال.
- رعایت کامل پروتکل های بهداشتی و سلامت لثه.
- محیط آرام و بدون استرس برای درمان.
🦷 نمونه کار کامپوزیت دندان دکتر اسمی:



اطلاعات تماس:
- 📍 آدرس: ضلع جنوبی پارک نیاوران، مجتمع تجاری اطلس مال، طبقه A4، واحد 14
- 📞 تلفن: 02126378284

۴. دکتر مانوشا امیری
دکتر مانوشا امیری یکی دیگر از متخصصین برجسته در لیست بهترین دکتر کامپوزیت تهران است. ایشان با بهره گیری از تکنولوژی های روز و متریالهای نانوسرامیک، درمان هایی را ارائه می دهند که از نظر درخشش و مقاومت شباهت زیادی به لمینت های سرامیکی دارد. اگر دندان های نامرتبی دارید و می خواهید با کامپوزیت آن ها را اصلاح کنید، دکتر امیدی مهارت بالایی در این زمینه دارند.
ویژگی های خدمات:
- استفاده از کامپوزیت های نانو هیبرید با قابلیت پولیش پذیری بالا.
- اصلاح فرم دندان بدون آسیب به مینای دندان.
- نمونه کارهای موفق متعدد در سطح تهران.
📽 ویدیو معرفی کلینیک دندانپزشکی دکتر مانوشا امیری:
🦷 نمونه کار کامپوزیت دکتر امیری:



اطلاعات تماس:
- 📍 آدرس: تهران، بلوار اندرزگو، تقاطع قیطریه، کوچه کیارنگ، ساختمان ماهور، پلاک 3، طبقه 4، واحد 16
- 📞 تلفن: 09002226001

۵. دکتر سعید میرزایی
دکتر میرزایی با ترکیب هنر و علم دندانپزشکی، لبخندهایی را خلق می کنند که کاملا با اجزای صورت هماهنگ است. یکی از نقاط قوت دکتر میرزایی، پشتیبانی و چکاپ های منظم بعد از درمان است تا از سلامت طولانی مدت کامپوزیت ها اطمینان حاصل شود.
ویژگی های خدمات:
- انجام ونیر کامپوزیت با تکنیک Free Hand (دست آزاد).
- ترمیم و پالیش های دوره ای حرفه ای.
- رضایت بالای مراجعین از برخورد و تخصص پرسنل.
📽 ویدیو نمونه کار کامپوزیت دندان دکتر سعید میرزایی:
🦷 نمونه کار کامپوزیت دکتر میرزایی:



اطلاعات تماس:
- 📍 آدرس: بلوار شهران، پایین تر از میدان اول شهران، نبش خیابان علیوردی، پلاک ۱۲، طبقه پنجم واحد ۱۹
- 📞 تلفن: 02144339673
معیارهای ما برای انتخاب این متخصصین
اسامی که در لیست بالا مشاهده کردید، تصادفی انتخاب نشده اند. ما برای غربالگری و معرفی این پزشکان، صرفا به شهرت اینستاگرامی اکتفا نکردیم و ۴ فیلتر سخت گیرانه و فنی را ملاک قرار دادیم تا خیال شما از بابت نتیجه نهایی راحت باشد:
۱. استفاده از متریال و برندهای معتبر
کیفیت مواد مصرفی، تضمین کننده طول عمر و ثبات رنگ لبخند شماست. پزشکانی که معرفی کردیم از برندهای معتبر جهانی مانند IPS (ایمپرس)، کاریزما و توکویاما استفاده می کنند که در برابر سایش مقاوم هستند. استفاده از کامپوزیت های ارزان قیمت و متفرقه، شاید در ابتدا هزینه ها را کاهش دهد، اما خیلی زود دچار پریدگی لبه ها و تغییر رنگ های بدشکل می شوند که نیاز به تعویض دارند.
۲. تکنیک لیرینگ (Layering) و طبیعی بودن
دوران دندان های گچی، مات و یک دست سفید به پایان رسیده است و زیبایی امروز در طبیعی بودن خلاصه می شود. متخصص حرفه ای با تسلط بر تکنیک «لیرینگ» (لایه به لایه)، سایهروشن ها و شفافیت لبه ای دندان را بازسازی می کند. این ظرافت در اجرا باعث می شود تشخیص کامپوزیت از دندان طبیعی دشوار باشد و لبخندی زنده، درخشان و غیر مصنوعی به شما هدیه دهد.
۳. قرینه سازی دقیق و سلامت لثه
مهم ترین فاکتور سلامتی، عدم وجود پله بین کامپوزیت و لثه است که مانع از گیر غذایی، بوی بد دهان و التهاب لثه می شود. در انتخاب این لیست، دقت زیادی روی مهارت پزشک در قرینه سازی و «فینیشینگ» نهایی داشته ایم تا نخ دندان به راحتی از بین دندان ها عبور کند. دندان های شما باید علاوه بر زیبایی ظاهری، عملکرد طبیعی داشته باشند و باعث بیماری های پریودنتال نشوند.
۴. مشاوره صادقانه پیش از درمان
یک دندانپزشک متعهد، سلامت دندان شما را فدای درآمدزایی نمی کند و دیدگاهی واقع بینانه به درمان دارد. اگر دندان هایتان نامرتبی شدید داشته باشد (نیاز به ارتودنسی) یا کامپوزیت باعث آسیب به مینا شود، این پزشکان صادقانه شما را منع می کنند. مشاوره صحیح یعنی انتخاب بهترین طرح درمان متناسب با چهره و بودجه شما، نه صرفا انجام کاری که به نفع پزشک باشد.
جمع بندی نهایی
انتخاب بهترین متخصص کامپوزیت در تهران، صرفا یک تصمیم زیبایی نیست؛ بلکه یک سرمایه گذاری بلند مدت روی سلامت دهان است. همان طور که در این مقاله بررسی کردیم، تفاوت بین یک لبخند زیبا و یک درمان ناموفق، تنها در مهارت دندانپزشک و کیفیت مواد مصرفی نهفته است.
پزشکانی که در این لیست معرفی شدند، همگی از فیلترهای سخت گیرانه ما عبور کرده اند و توانسته اند رضایت بالای مراجعین را جلب کنند. توصیه نهایی ما این است که پیش از تصمیم گیری قطعی، حتما یک جلسه مشاوره حضوری با پزشک منتخب خود داشته باشید تا طرح درمان اختصاصی شما با دقت برنامه ریزی شود.
سوالات متداول
خیر، کامپوزیت به خودی خود هیچ بویی ندارد. بوی بد دهان تنها زمانی ایجاد می شود که درمان به صورت غیر اصولی انجام شده باشد. اگر پزشک مهارت کافی نداشته باشد و بین لایه کامپوزیت و لثه فاصله یا پله ایجاد شود، مواد غذایی در آن ناحیه گیر کرده و باعث تجمع باکتری و بوی بد می شود.
دوام کامپوزیت ونیر به دو عامل اصلی بستگی دارد: کیفیت مواد مصرفی و میزان مراقبت شما. به طور معمول، عمر مفید کامپوزیت های باکیفیت بین ۵ تا ۷ سال است. البته با رعایت بهداشت دهان، پرهیز از گاز زدن خوراکی های بسیار سفت و انجام پولیش های دوره ای می توان این ماندگاری را تا ۱۰ سال نیز افزایش داد.
اصلی ترین تفاوت در جنس مواد و نحوه اجرا است. کامپوزیت از جنس رزین است که معمولا بدون نیاز به تراش دندان و در یک جلسه در مطب توسط پزشک فرم داده میشود. لمینت از جنس سرامیک سخت است، نیاز به تراش جزئی مینای دندان و قالب گیری لابراتواری دارد.