لیست بهترین متخصص ارتودنسی در کرج (اسم و مشخصات + آدرس و شماره های تماس)
در این صفحه، لیست بهترین متخصص ارتودنسی در کرج را به شما معرفی می کنیم. سعی کرده ایم اطلاعات کلیدی و ضروری درباره ارتودنسی را نیز در اختیارتان قرار دهیم. همچنین به شما توضیح می دهیم که چرا انجام درمان ارتودنسی در نزدیکی محل زندگی تان بهترین انتخاب است و مزایای این تصمیم را به طور کامل برایتان شرح می دهیم. با مطالعه این مقاله، می توانید تصمیمات آگاهانه تری برای شروع یا ادامه درمان ارتودنسی خود بگیرید و به نتایج عالی دست پیدا کنید.
لیست بهترین متخصص ارتودنسی در کرج و نزدیک ترین منطقه به کرج
| ردیف | نام متخصص | اطلاعات تماس |
|---|---|---|
| 1️⃣ | دکتر هادی درویش پور ✅ | کلیک کنید |
| 2️⃣ | دکتر کامیار خضری ✅ | کلیک کنید |
| 3️⃣ | دکتر ستار کبیری ✅ | کلیک کنید |
| 4️⃣ | دکتر سیامک همت پور✅ | کلیک کنید |
| 5️⃣ | دکتر حمید قاسمی ✅ | کلیک کنید |

1. دکتر هادی درویش پور ✅
دکتر درویش پور با بیش از ۱۵ سال تجربه در زمینه ارتودنسی، یکی از برجسته ترین ارتودنتیست های تهران محسوب می شوند. ایشان دارای سه مطب فعال در سطح شهر هستند. در تمامی این مطب ها جدید ترین فناوری های ارتودنسی نامرئی با الاینرهای شفاف را به بیماران ارائه می دهند. همچنین، یکی از مطب های ایشان در غرب تهران و نزدیک به کرج واقع است. به همین دلیل با توجه به تعداد زیاد مراجعین از کرج، نام ایشان را نیز در فهرست متخصصان محبوب این شهر قرار داده ایم.
📽 ویدیو معرفی دکتر درویش پور:
🦷 نمونه درمان ارتودنسی دکتر درویش پور:



+ مطب غرب تهران: دهکده المپیک، میدان المپیک، ضلع جنوب غربی، کوچه 27، پلاک 17

2. دکتر کامیار خضری ✅
دکتر خضری، ارتودنتیستی جوان و خوشنام، به دلیل دقت و کیفیت درمانهای خود در میان بیماران شناخته شدهاند. ایشان دو مطب فعال در تهران و کرج دارند. در کلینیک Dorr که همراه با همسرشان اداره میکنند، علاوه بر ارتودنسی، خدمات ترمیمی و زیبایی نیز ارائه می دهند. دکتر خضری با صبر و دقت در برخورد با بیماران خود، تجربهای لذتبخش از درمانهای دندانپزشکی فراهم میکنند.
📽 ویدیو معرفی دکتر خضری:
🦷 نمونه درمان ارتودنسی دکتر خضری:



+آدرس متخصص ارتودنسی کرج طالقانی: کرج، چهار راه طالقانی ، به سمت شهدا ، ساختمان پزشکان آرین ، طبقه 6 ، واحد17

3. دکتر ستار کبیری ✅
دکتر ستار کبیری، متخصص ارتودنسی و یکی از برترین فارغالتحصیلان دانشگاه علوم پزشکی شهید بهشتی هستند. ایشان با رتبه های درخشان و دستاوردهای علمی برجسته، فعالیت حرفه ای خود را از سال ۱۳۹۵ آغاز کرده است. ایشان فارغ التحصیلی رشته دندانپزشکی از دانشگاه علوم پزشکی اصفهان هستند. پس از گذراندن دوره تخصصی ارتودنسی، اکنون به عنوان متخصص ارتودنسی در کرج مشغول به کار هستند.
📽 ویدیو معرفی دکتر کبیری:
🦷 نمونه درمان ارتودنسی دکتر کبیری:



+ آدرس مطب: کرج، چهارراه طالقانی، به سمت میدان شهدا، ساختمان پزشکان شاه کرم، طبقه ۱۰ ، واحد ۱۰۰۱

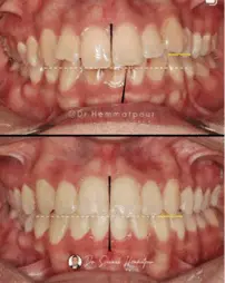
4. دکتر سیامک همت پور ✅
دکتر همت پور، از ارتودنتیست های جوان و موفق تهرانو کرج هستند. ایشان پس از گذراندن دوره تخصصی ۳ ساله در دانشگاه تهران و کسب بورد تخصصی، به عنوان عضو هیأت علمی در دانشگاه آزاد اسلامی تهران مشغول به کار شدند. در سابقه کاری ایشان، سرپرستی بخش تخصصی ارتودنسی دانشگاه نیز به چشم میخورد.
📽 ویدیو معرفی دکتر همت پور:
🦷 نمونه درمان ارتودنسی دکتر همت پور:



+ آدرس مطب: کرج، جهانشهر، خیابان کسری، بعد از بیمارستان کسری، نبش کوچه باشگاه (رستم)، ساختمان پزشکان جهانشهر

5. دکتر حمید قاسمی ✅
دکتر حمید قاسمی، متخصص ارتودنسی با بورد تخصصی از ژاپن و آمریکا هستند. ایشان از معدود متخصصان برجسته در ایران است که خدمات ارتودنسی بی نظیری به مراجعین خود ارائه میدهد. دکتر به دلیل دانش و تجربه گسترده، به عنوان یکی از بهترین دکترهای ارتودنسی در کرج شناخته میشود.
📽 ویدیو معرفی دکتر حمید قاسمی:
🦷 نمونه درمان ارتودنسی دکتر قاسمی:



+ آدرس مطب: کرج، جهانشهر، خیابان شهید بهشتی، نرسیده به خیابان کسری، برج ولیعهدی، طبقه ۷، واحد ۷۰۱
لیست بهترین متخصص ارتودنسی در کرج هرازچندگاهی به روزرسانی خواهد شد.
متخصص ارتودنسی کیه؟
متخصص ارتودنسی یا ارتودنتیست یک دندانپزشک است که پس از گذراندن دوره های عمومی دندانپزشکی، به طور ویژه در زمینه ارتودنسی تخصص یافته است. ارتودنسی شاخه ای از دندانپزشکی است که به بررسی و اصلاح نامرتبی ها و ناهنجاری های دندانی و فکی می پردازد. این متخصصین با استفاده از ابزارهای مختلف مانند بریس ها، پلاک های ارتودنسی و دستگاه های مختلف دیگر، به بهبود وضعیت دندان ها و فک ها کمک می کنند.
کار متخصص ارتودنسی چیست؟
متخصصان ارتودنسی کار خود را با ارزیابی وضعیت دندانی و فکی بیماران آغاز می کنند. این ارزیابی شامل بررسی کلینیکی، تهیه عکس های رادیوگرافی و قالب گیری از دندان ها می شود. پس از این مرحله، آن ها برنامه درمانی مناسب را طراحی می کنند که ممکن است شامل استفاده از بریس ها، پلاک های متحرک، یا سایر دستگاه های ارتودنسی باشد. هدف اصلی این درمان ها اصلاح ناهنجاری های دندانی و فکی است تا بهبود کارکرد و زیبایی دهان و دندان ها حاصل شود.

علاوه بر درمان با دستگاه های ارتودنسی، متخصصان ارتودنسی به بیماران خود در زمینه مراقبت های بهداشتی دهان و دندان و همچنین نحوه صحیح استفاده از دستگاه های ارتودنسی مشاوره می دهند. این مشاوره ها شامل توصیه های مربوط به مسواک زدن، استفاده از نخ دندان، و اجتناب از غذاها و عاداتی که ممکن است به دستگاه های ارتودنسی آسیب برساند، می شود. همچنین، آن ها به طور منظم وضعیت درمان را پیگیری و در صورت نیاز تنظیمات لازم را انجام می دهند.
یکی دیگر از وظایف متخصصان ارتودنسی، کار با کودکان و نوجوانان است که در حال رشد هستند و ممکن است نیاز به مداخله زودهنگام برای جلوگیری از بروز مشکلات جدی در آینده داشته باشند. درمان ارتودنسی در سنین پایین تر می تواند نتایج بهتری به همراه داشته باشد، زیرا در این سنین استخوان ها و دندان ها هنوز در حال رشد و تغییر هستند.
تفاوت متخصص ارتودنسی با دندانپزشک عمومی چیست؟
متخصص ارتودنسی و دندانپزشک عمومی فرق اصلی شان در نوع و مدت آموزش است. دندانپزشکان عمومی کارهای پایه و روزمره دندانپزشکی را انجام می دهند. در حالی که متخصصان ارتودنسی، بعد از دوره عمومی، سال ها آموزش تخصصی می بینند.

این تخصص به آنها امکان می دهد تا ناهنجاریهای پیچیدهتر دندانی و فکی را با روش ها و ابزارهای خاص درمان کنند که معمولاً دندانپزشکان عمومی قادر به انجام آن ها نیستند. بنابراین، برای مشکلات جدی تر ارتودنسی، حتماً باید به متخصص مراجعه کرد و دکترها معرفیشده در لیست بهترین متخصص ارتودنسی در کرج همگی واقعاً همین تخصص را دارند.
چطور یک متخصص ارتودنسی پیدا کنیم؟
برای یافتن یک متخصص ارتودنسی خوب، می توانید از چندین روش استفاده کنید. یکی از ساده ترین و مؤثرترین روش ها، مشورت با دندانپزشک عمومی خود است. دندانپزشکان عمومی معمولاً با متخصصان ارتودنسی در ارتباط هستند و می توانند بهترین گزینه ها را به شما معرفی کنند. همچنین می توانید از دوستان و آشنایان خود که تجربه ارتودنسی داشته اند، پرس وجو کنید و نظرات و تجربیات آن ها را در انتخاب متخصص در نظر بگیرید.

حتما در گوگل سرچ کنید
علاوه بر این، با جستجوی آنلاین عباراتی مانند:
- “بهترین دکتر ارتودنسی در کرج”
- بهترین دکتر ارتودنسی در فردیس کرج
- بهترین دکتر ارتودنسی در عظیمیه کرج
- و ….
می توانید به راحتی متخصصان برتر را پیدا کنید. همچنین، با مراجعه به وب سایت های معتبر و شرکت در نظرسنجی ها، اطلاعات مفیدی به دست می آورید.
بسیاری از متخصصان ارتودنسی وب سایت های حرفه ای دارند که در آن ها جزئیات مربوط به تجربه، تحصیلات و خدمات خود را ارائه می دهند. علاوه بر این، می توانید نظرات بیماران قبلی را بخوانید و از تجربیات آن ها با متخصص مورد نظر آگاه شوید. این اطلاعات به شما کمک می کند تا بهترین انتخاب را داشته باشید.

در نهایت، هنگام انتخاب یک متخصص ارتودنسی، مهم است که به مطب او مراجعه کنید و از نزدیک با وی ملاقات داشته باشید. در این ملاقات ها می توانید سوالات خود را مطرح کنید، شرایط و نحوه درمان را بررسی کنید و از تخصص و تجربه او اطمینان حاصل کنید. همچنین محیط مطب و نحوه برخورد پرسنل نیز می تواند در تصمیم گیری شما مؤثر باشد.
چرا باید درمان ارتودنسی را در نزدیکی محل زندگی خودتان انجام دهید؟
درمان ارتودنسی معمولاً به جلسات مکرر و منظم نیاز دارد، بنابراین انتخاب یک متخصص ارتودنسی نزدیک به محل زندگی شما (مانند دندانپزشکان لیست بهترین متخصص ارتودنسی در کرج)میتواند مزایای بسیاری داشته باشد. در ادامه، به ۵ دلیل مهم برای انجام درمان ارتودنسی در نزدیکی محل زندگی اشاره کرده ایم:
۱. دسترسی آسان تر و صرفه جویی در زمان
انتخاب یک مطب ارتودنسی نزدیک به محل زندگی تان، دسترسی به جلسات درمانی را بسیار آسانتر میکند. به جای گذراندن زمان زیادی در ترافیک یا استفاده از حمل و نقل عمومی برای رسیدن به مطب، میتوانید به راحتی و با صرف زمان کمتر به قرارهای خود برسید. این مسئله به ویژه برای کسانی که برنامههای شلوغی دارند، اهمیت زیادی دارد.
۲. کاهش هزینههای رفت و آمد
هزینه های مرتبط با رفت و آمد به مطب ارتودنسی میتواند به مرور زمان بالا برود، به ویژه اگر مطب در فاصله دوری قرار داشته باشد. اگر در کرج هستید، انتخاب بهترین تخصص ارتودنسی در کرج که در نزدیکی محل زندگی شما است میتواند این هزینهها را به طور قابل توجهی کاهش دهد.
سایز هزینه های رفت و آمد شامل هزینه بنزین، هزینههای مربوط به خودرو و حتی هزینههای حمل و نقل عمومی میشود. این کاهش هزینه میتواند در طولانی مدت بسیار محسوس باشد و به شما کمک کند تا بودجه بیشتری برای سایر نیازهای زندگی خود داشته باشید.

۳. استرس نداشتن در موارد اضطراری
مشکلات ناگهانی در طول درمان ارتودنسی میتوانند پیش بیایند و این چیز عجیبی نیست. مثلا شکستن بریس یا درد غیر منتظره جزئی از مشکلات احتمالی طول درمان هستند. در این مواقع، داشتن یک متخصص ارتودنسی نزدیک به محل زندگی میتواند بسیار مفید باشد.
اگر مطب نزدیک باشد، میتوانید به سرعت به آن مراجعه کرده و مشکل خود را حل کنید، بدون اینکه نیاز به برنامهریزی مجدد یا تغییرات عمده در برنامه روزانه خود داشته باشید. این امر به ویژه در مواقع اضطراری که نیاز به مداخله فوری است، اهمیت دارد و میتواند از تشدید مشکلات جلوگیری کند.

زمانی که بدانید میتوانید به سرعت به متخصص خود دسترسی داشته باشید، آرامش بیشتری خواهید داشت و این آرامش میتواند بر روحیه و همچنین روند بهبود شما تأثیر مثبت داشته باشد. این راحتی در مواقع اضطراری باعث میشود که روند درمان به صورت مداوم و بدون وقفه ادامه یابد و از بروز مشکلات جدیتر جلوگیری شود.
۴. هماهنگی بهتر با برنامه روزانه خودتان
یکی از مهم ترین مزایای انتخاب دندانپزشک از لیست بهترین متخصص ارتودنسی در کرج (ابتدای صفحه)، امکان هماهنگی بهتر با برنامههای روزانه تان است. زمانی که مطب نزدیک محل کار یا خانه شما باشد، میتوانید جلسات درمانی را با زمانهای خالی خود هماهنگ کنید و به راحتی ماباین کار، تحصیل یا سایر تعهدات خود به مطب بروید. این هماهنگی بهتر باعث میشود که نیازی به تغییرات بزرگ در برنامههای روزانه خود نداشته باشید و بتوانید به تمامی فعالیتهای خود به موقع برسید.
۵. امکان پیگیری منظم و دقیق تر
پیگیری منظم ارتودنسی خیلی مهم است و انتخاب مطب نزدیک به خانه در کرج، این کار را راحت تر می کند. وقتی مطب دم دست باشد، جلسات پیگیری به موقع انجام می شوند و این پیگیری دقیق به متخصص ارتودنسی کمک میکند مشکلات را زودتر شناسایی و حل کند. همین باعث می شود درمان با کیفیت تر و سریع تر پیش برود.

پاسخ به سوالات درباره بهترین دکتر ارتودنسی در کرج
خیر این لیست صرفا معرفی ارتودنتیست های شاخص کرج است و امکان دریافت نوبت وجود ندارد. با این حال آدرس و شماره تماس هر یک از متخصصان درج شده و می توانید مستقیما برای دریافت نوبت یا مراجعه حضوری اقدام فرمایید.
در محدوده فردیس ارتودنتیسی وجود ندارد اما با توجه به نزدیکی به خود کرج، افرادی که در فردیس هستند می توانند درمان خود را در کرج شروع کنند.
بله همه دکتر های معرفی شده درمان کودکان را انجام می دهند.
بله همه مطب های معرفی شده هزینه ها را به صورت قسطی دریافت می کنند.